德安县总医院人民医院院区神经外科成功拆除颅内不定时“炸弹”--动脉瘤
在一个看似稀松平常的午后,61岁的王大妈突然遭遇了生命中的危急时刻。据家属描述,王大妈在家中突发剧烈头痛,并伴有严重的恶心与呕吐症状。发现这一情况后,家属立即采取行动,将王大妈紧急送至德安县总医院人民医院院区急诊科进行救治。
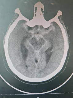
到达急诊科后,医护人员迅速对王大妈进行了初步检查。测量血压时,发现王大妈的血压高达235/121mmHg,远超正常范围(正常血压为90-139/60-89mmHg)。这一异常高的血压值立即引起了医护人员的警觉,并立即为王大妈安排了头颅CT检查。
头颅CT检查结果显示,王大妈存在蛛网膜下腔出血的情况。面对这一紧急情况,德安县总医院人民医院立即启动了神经外科会诊程序,组织专家团队对王大妈的病情进行了全面评估。经过专家们的会诊,王大妈被确诊为左侧大脑中动脉瘤,并需要尽快进行手术治疗。


为确保手术的顺利进行,神经外科团队对王大妈的病情进行了进一步的详细检查,并完善了头颅CT动脉血管成像。在排除了手术禁忌后,医院决定为王大妈实施急诊脑血管造影+颅内动脉瘤栓塞术。


手术在全麻状态下进行,神经外科专家团队凭借精湛的技术和丰富的经验,成功为王大妈完成了动脉瘤栓塞术。术后,经过医护人员的精心治疗和护理,王大妈的病情逐渐趋于平稳,目前正逐步恢复中。
此次成功救治不仅彰显了德安县总医院人民医院神经外科团队的专业实力,也体现了德安县总医院人民医院在应对急危重症方面的快速响应能力和综合救治水平。
(德安县总医院人民医院供稿)
责任编辑:



