九江学院第二附属医院心血管内科利用冲击波球囊技术,成功治疗危重复杂冠脉病变
时间:2025-10-28 07:18:54
来源: 九江市融媒体中心(九江日报社 九江市广播电视台)九江新闻网
九江新闻网讯 近日,九江学院第二附属医院心血管内科团队在江西省人民医院专家的指导下,成功运用经皮冠状动脉腔内冲击波球囊导管成形术(俗称“血管内碎石术”),为一名高龄“急性非ST段抬高型心肌梗死”患者解除了病痛,成功挽救了生命。

这位高龄男性患者,半年前曾因胸闷在外院就诊。当时冠状动脉造影检查显示冠脉三支血管重度狭窄。在外院做了右冠状动脉药物球囊扩张成形术后,并要求患者在半年后处理其余冠脉血管。然而,由于距离等因素,患者未能如期复诊。此次,患者因“突发胸痛1小时”紧急入院,经诊断为急性非ST段抬高型心肌梗死,并伴有冠状动脉血管闭塞、心动过缓以及多项基础疾病,病情危重。


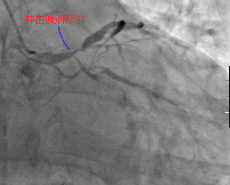
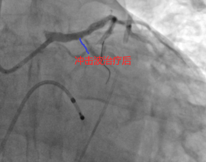
面对患者及其家属再次拒绝冠脉搭桥手术,并强烈要求微创介入治疗,九江学院第二附属医院心血管内科团队进行了缜密的术前讨论。考虑到患者左主干、前降支开口及近段存在重度狭窄且钙化严重,普通球囊扩张可能不能完全预处理狭窄病变,团队最终决定采取冲击波球囊扩张技术。经过充分的术前准备,手术在主动脉球囊反搏(IABP)支持下顺利进行。术中,医生们精准运用3.25X12mm冲击波球囊,在前降支近端及左主干分别进行了数次冲击波治疗,有效处理了钙化病变。最终,成功植入1枚支架,解决了患者的病痛。
责任编辑:



